Common Orthodontic Issues

After Before
AFTER
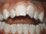
BEFORE

Patient started treatment at age 11 and wore braces for 26 months. He loves his new smile.

After Before
AFTER
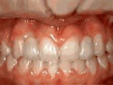
BEFORE

Patient sucked her thumb as a young child. She started treatment at age 13. She had braces and a special appliance — called a crib — to retrain the tongue, for 28 months. Now she can bite the lettuce out of a sandwich.

After Before
AFTER
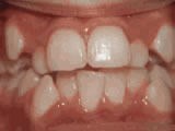
BEFORE

This adult patient, age 25, required braces and jaw surgery to correct his severe overbite, with treatment taking two years. His problem could have been corrected without surgery if he had been treated before he was a teenager

After Before
AFTER
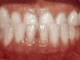
BEFORE

At age ten, patient had a big overjet with the top teeth protruding beyond the bottom. She had two phases of treatment. The first helped her jaws to grow more harmoniously and the second aligned her teeth and bite. At age 13, she was proudly displaying her new smile.

After Before
AFTER
BEFORE

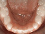
Sometimes braces are not needed to get noticeable improvements in tooth alignment. This patient was first seen at age seven for crowding of the lower permanent teeth. A procedure was performed to reduce the width of the adjacent baby teeth and the permanent incisors aligned on their own in nine months.

After Before
AFTER
BEFORE

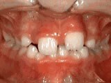
Patient’s parents were concerned about both aesthetics and the health of the erupting permanent teeth when they brought him to the orthodontist at age eight. The lower front teeth were crowded and touching the palate, and the upper front teeth were extremely displaced from their normal positions. After 12 months of Phase-One treatment with an expander and partial braces, patient’s appearance and dental function were vastly improved.

After Before
AFTER
BEFORE

This patient’s lateral incisors were congenitally missing. She had braces for 20 months to move the teeth into their correct positions, then the missing teeth were replaced with bonded “Maryland” bridges.

After Before
AFTER
BEFORE

Patient’s underbite was causing her jaw joint discomfort and excessive wear patterns on her teeth. After about 30 months of treatment starting at age 32, she now finds smiling and chewing much easier.

After Before
AFTER
BEFORE

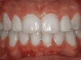
Patient was bothered by the spaces between his teeth. Braces closed the spaces and gave him an ideal bite in 24 months. Special glued-in retainers help keep the spaces closed.

About Our Practice

Learn More

Featured Services

View Services

Real Patient Reviews

1629

Total Reviews

5

Average Rating

star-full star-full star-full star-full star-full
Read Our Reviews

Start Your Orthodontic Journey Today

Schedule a Consultation
Call Us Button

Call Us

Book Now Button

Book Now